女子便秘10年被切30厘米肠管 长期滥用通便茶的代价
“只是有点便秘,吃点通便茶就好了……”这句话,44岁的廖女士对自己说了整整十年。她怎么也没想到,这句话的代价是一段被切掉的肠子。

十年前,廖女士开始偶尔便秘,起初只是两三天排一次,她觉得“不是什么大事”。朋友推荐了一款网红通便胶囊,成分表上写着大黄、番泻叶等中药成分,她觉得安全,于是开始服用。效果确实好,吃了就拉,肚子也舒服了。但渐渐地,她发现自己离不开这些药物,一旦停药,便秘比之前更严重。于是她逐渐增加剂量,从一天一粒变成一天三粒。十年间,她尝试过无数品牌的通便茶、排毒果冻和西梅汁,只要宣称“通便”,她都敢试。

今年年初,廖女士的肚子突然剧痛,连续五天没有排便。家人把她送到医院时,她整个人蜷缩在病床上,脸色发青。急诊医生紧急安排了保守治疗——禁食、灌肠、补液。三天过去了,肠子纹丝不动。“不能再等了。”主刀医生赵东波副主任医师告诉家属,“肠梗阻严重,必须手术。”

手术台上,医生切开腹腔时倒吸一口冷气——她的一段结肠已经失去弹性,肠壁像被墨水浸泡过一样,呈现骇人的黑色。长期服用刺激性泻药导致肠壁色素沉积,神经末梢坏死,肠道再也无法自主蠕动。最终,廖女士被切除了30厘米的肠管。术后醒来,她看着肚子上的伤口,哭得说不出话。“如果十年前,我能早点去医院看看就好了……”

无独有偶,另一位江苏的季女士也遭遇类似的情况。50多岁的季女士被便秘困扰了四年多,起初通过改变饮食结构、多吃粗粮来改善。后来,她迷上了网络推荐的各种通便茶和保健品。服用后,季女士发现便秘确有好转,养成了长期服用的习惯。当一种产品无效后,她就会换另一种尝试。

直到2024年4月中旬,季女士发现所有的通便茶都不管用了,腹部持续胀痛,才到医院就诊。检查结果显示,她的整条大肠内壁呈现出棕黑色蛇皮样,黑色素沉着明显,被诊断为“结肠黑变病”。若继续发展,有癌变的可能。经过治疗,季女士的便秘症状有了明显的好转。

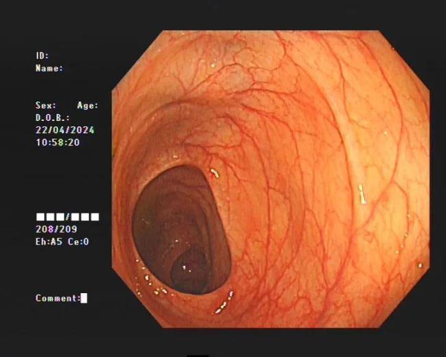
临床上许多患者自行口服药物后筛查肠镜,均有不同程度的结肠黑变病。正常的结肠黏膜是淡红色的,看起来光滑平坦,黏膜表面的小血管纹理清晰可见。而结肠黑变病的肠黏膜色泽呈现棕色、褐色,有豹纹或者蛇皮一样的条状纹,严重的甚至会变成黑色。
就在上个月,3·15晚会揭开了“网红排毒产品”的遮羞布。多款热销的西梅汁、酵素果冻、通便茶被检出非法添加了酚丁类衍生物、比沙可啶等强效泻药成分。这些成分从未获批作为食品添加剂,但商家把它们伪装成“天然通便”“0添加排毒”,大肆宣传。消费者吃了半小时就想跑厕所,以为自己“终于找到了宝藏产品”。然而,每一次“立竿见影”的背后,都是肠道神经在无声地抗议。
医学上,便秘不是“感觉排不出来”就算。它有硬指标:每周排便少于三次;排便困难、粪便干结;症状持续六个月以上,才算“慢性便秘”。很多人偶尔一两天没排便,就焦虑得不行,急急忙忙找“通便神器”。这种焦虑恰恰成了无良商家的突破口。
便秘的危害远不止“不舒服”这么简单。长期便秘的人不仅会有腹胀、长痔疮、肛裂等症状,排便时拼命用力还会导致血压瞬间飙升,临床上很多心梗、脑溢血就是在马桶上发生的。还有更隐蔽的风险:长期便秘,结直肠癌的发病率会明显升高。
市面上常见的“通便茶”“网红西梅汁”核心套路高度一致:添加刺激性泻药如番泻苷、比沙可啶、酚酞、大黄素等。这些东西的原理就像“鞭子”,强行抽打肠道,让它拼命蠕动。一次两次还行,天天抽,肠道神经就坏了。药物依赖导致肠道失去自主蠕动能力,不吃药就彻底“罢工”,医学上叫“泻剂结肠”。此外,结肠黑变病会导致肠壁色素沉着,虽然目前认为可逆,但长期刺激下,癌变风险不容忽视。功能紊乱也会导致腹泻与便秘交替,肠道彻底“疯了”。
真正的通便不需要“猛药”,需要的是耐心和对身体的尊重。首先看生活:每日摄入25-30克膳食纤维,如燕麦、红薯、绿叶菜、火龙果;每天喝1.5-2升温水,软化粪便;快走、揉腹(顺时针按摩左下腹)促进肠蠕动。用药有讲究:益生菌调节肠道菌群,需坚持1-3个月;温和泻药如乳果糖、聚乙二醇,遵医嘱使用;中药调理根据体质辨证施治,如气虚者补气健脾,阴虚者滋阴润燥。
警惕“网红产品”陷阱:看配料表,纯西梅汁仅含西梅浓缩汁,若含“番泻苷”“比沙可啶”等成分,立即停用;拒绝“速效”宣传,天然食物通便作用温和,凡宣称“30分钟通便”的产品,大概率非法添加泻药;选择正规渠道购买,避免三无产品。
便秘不是丢人的事,它是身体发出的信号,提醒你:饮食该调整了,水喝少了,压力太大了,或者该去看看医生了。健康没有捷径,善待肠道,它才会善待你。

