男子打10分钟羽毛球后心梗 剧烈运动成诱因
两个38岁的宝爸同一天因为急性心梗被送进医院,且都发生在剧烈运动后。一位陪孩子打了10分钟羽毛球,另一位陪孩子爬了一次山。这两位父亲的情况引发了人们的关注。

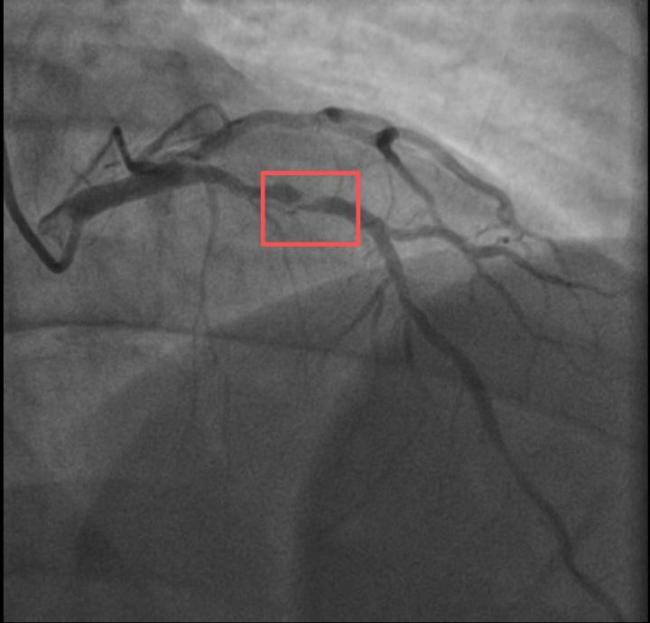
孙先生是一位羽毛球教练,身高173cm,体重约90KG。一年前,他因胸闷就诊时被查出心脏右冠中段、远端钙化斑块,以及心脏三支主要血管之一前降支中段60%狭窄。当时考虑到没有三高的危险因素(可能为早发冠心病家族史),孙先生坚信自己可以通过运动恢复健康,因此拒绝了介入治疗,只接受药物治疗。经过一年的努力,他的体重从96KG减到了90KG。然而,近日在带孩子练习羽毛球时,孙先生亲自上场挥杆仅10分钟左右,就因心前区剧烈绞痛被送进了急诊。医生分析,剧烈运动导致这位患者心脏的不稳定斑块破裂,进而造成前降支近段次全闭塞。所幸送医及时,孙先生的身体险情被化解。

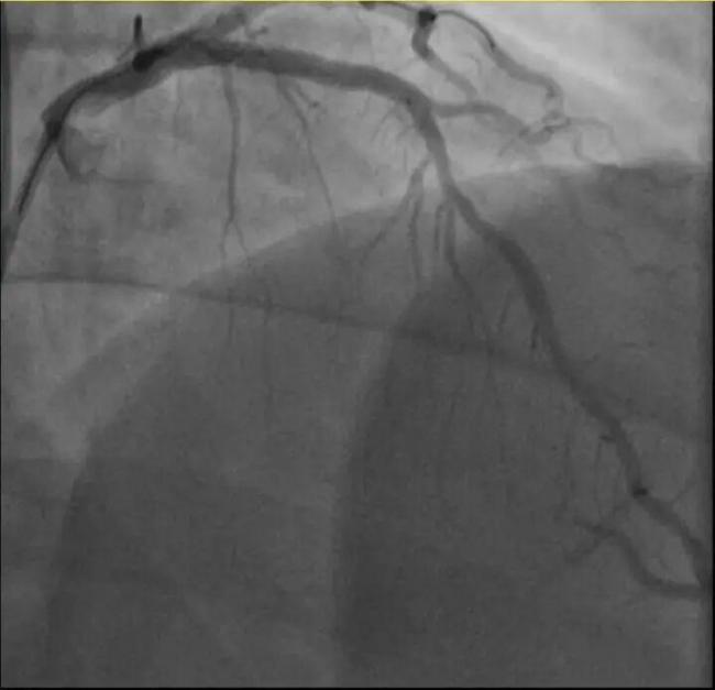
另一位38岁的钱先生也有类似遭遇。钱先生的血糖一直偏高,服药后控制不佳,但年轻的他并没有太在意。周末,他和孩子爬了一座山,隔天就因突发胸骨中段压榨性疼痛被送到了急诊,最后被证实也是心梗——心脏三支主要血管之一回旋支远段次全闭塞。医生介绍,钱先生来院时血糖12.79mmol/L(正常空腹值应该在3.9~6.1mmol/L),甘油三酯也超标。三高是导致动脉粥样硬化的主要危险因素,在冠状动脉粥样硬化早期,血管狭窄可能并不严重,但在运动、情绪激动等情况下,心肌耗氧量增加,可能导致心梗等急性心肌缺血事件。所幸及时治疗,钱先生也转危为安。

长期规律、适度的运动是预防心血管疾病最有效的方式之一,但对于已有潜在心脏问题或高危因素的人群,突然、剧烈的运动却可能成为急性心肌梗死的“导火索”。医生解释,剧烈运动主要通过三种机制诱发心肌梗死:斑块破裂、心肌氧供需失衡和血管痉挛。斑块破裂是指剧烈运动时心跳加速、血压升高,血流对血管壁的冲击力增大,可能导致不稳定的动脉粥样硬化斑块破裂,引发血小板聚集和血栓形成,最终堵塞血管。心肌氧供需失衡则是指剧烈运动时心脏耗氧量急剧增加,对于冠状动脉已经狭窄的人来说,血流无法相应增加,无法满足心肌的需求,从而导致心肌缺血。血管痉挛则是剧烈运动可能通过交感神经兴奋或电解质失衡引发冠状动脉发生痉挛,使血管突然收缩,造成管腔狭窄,血流中断。

如何判断运动是否过量?可以测量运动后的血压。运动后血压会有所上升,但不应超过140/90mmHg。如果运动后发现血压超过180/110mmHg,即便是后面下降到正常区间,仍说明运动过度,要及时减少运动量。
为了预防剧烈运动诱发的心梗,医生建议先做心血管风险筛查,了解自身血压、血脂、血糖水平,排查是否存在冠心病等基础疾病。缺乏规律运动者可做运动负荷试验,判断心脏对运动的适应能力,避免盲目挑战超出身体承受范围的运动。科学规划运动方案,遵循“循序渐进”原则,从低强度运动开始逐步增加运动量。做好运动前后准备,运动前花5~10分钟热身;运动后不要立刻停下,通过慢走、拉伸等方式平稳降心率。规避危险运动场景,避免在高温高湿、寒冷大风环境下长时间剧烈运动;熬夜、过度疲劳、饮酒、感冒后24小时内不进行高强度运动;运动中或运动后若出现不适,立即停止并休息。
如今发生猝死的人群越来越趋于年轻化。不当的运动方式、时间和强度,反而可能成为触发心脏事件的“最后一根稻草”。据统计,约50%的心脏猝死患者在事件发生前从未被诊断出心脏问题;年龄大于35岁的心脏猝死患者,85%以上的原因是心脏冠状动脉病变。世界卫生组织推荐成年人每周至少150分钟中等强度或75分钟的高强度有氧运动。但必须循序渐进,避免突然增加运动量和强度。

